Durchblutungsstörung Innerer Organe (Nierenarterienstenose, Darmischämie)
Durch Gefässverkalkungen verengte oder verschlossene Gefässe können auch grosse, organversorgende Arterien (Leber, Milz, Nieren, Darm) betreffen. Die Beschwerden hierdurch können sehr unterschiedlich sein, entsprechend dem minderversorgten Organ.
Auftreten
Je nach betroffenem Gefäss/Organ zeigen sich unterschiedliche Beschwerdebilder.
Bei der Nierenarterienstenose werden die Nieren nicht mit genügend Blut versorgt, um ihre Funktionen auszuführen. Dies kann zu Bluthochdruck, Nierenversagen und anderen schwerwiegenden Komplikationen führen. Risikofaktoren für eine Nierenarterienstenose sind u.a. Rauchen, Bluthochdruck, Diabetes und hohes Alter. Selten kommt es in jungen Jahren zu einer lokalen Gefässwandverdickung (fibromuskuläre Dysplasie = FMD) deren Ursache noch unbekannt ist. Das Beschwerdebild ist der atherosklerotisch bedingten Nierenarterien-Verengung vergleichbar.
Eine Darmischämie hingegen tritt auf, wenn die Blutversorgung zum Darm gestört ist, was zu einer Schädigung oder zum Absterben von Gewebe führen kann. Ursachen hierfür können u.a. Gefässverschlüsse durch Thrombosen, Embolien oder Gefässentzündungen sein. Als Symptome gelten Bauchschmerzen, Übelkeit, Erbrechen, Durchfall oder Verstopfung.
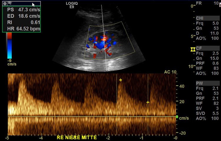
Die Diagnose von Durchblutungsstörungen in den inneren Organen erfolgt in der Regel durch bildgebende Verfahren wie Ultraschall, Angiographie oder CT-Scans.
Die Behandlung kann je nach Schweregrad und Ursache variieren und umfasst in der Regel Medikamente und/oder interventionelle Verfahren wie die Stentimplantation oder Operationen, um den Blutfluss wiederherzustellen.
Um Durchblutungsstörungen in den inneren Organen zu verhindern, sollten die typischen Risikofaktoren für Gefässverkalkungen wie Rauchen, Diabetes, erhöhte Blutfette und Bluthochdruck kontrolliert werden. Eine gesunde Lebensweise mit ausreichender Bewegung und ausgewogener Ernährung kann ebenfalls dazu beitragen, das Risiko zu reduzieren.
Eine rechtzeitige Diagnose und Behandlung haben das Ziel, schwerwiegende Komplikationen zu vermeiden und die Gesundheit der betroffenen Organe zu erhalten. Deshalb sollte zeitnah bei entsprechenden Beschwerden, wie Bluthochdruck, Bauchschmerzen nach dem Essen und/oder ungewollter Gewichtsverlust, eine umfassende Diagnostik erfolgen, um vaskuläre Ursachen ausschliessen oder bestätigen zu können.


