Gefässerweiterung (Aneurysma)
Von einer Gefässerweiterung bzw. einem Aneurysma spricht man, wenn der maximale Querdurchmesser des Gefässes mehr als das 1,5-fache des dort üblichen Durchmessers beträgt.
Auftreten von Gefässerweiterung (Aneurysma)
Ursächlich sind meist eine angeborene Schwächung der Gefässwand oder entzündliche Prozesse. Männer im fortgeschrittenen Alter sind eher betroffen als Frauen. Besonders häufig tritt dieses Problem an der Hauptschlagader (Aorta) und an den Kniekehlen-Arterien (Arteria poplitea) auf.
Mit zunehmendem Durchmesser droht die Gefässwand einzureissen, mit teils lebensbedrohlichen inneren Blutungen, oder es kommt zur Verschleppung von Blutgerinnseln aus der Gefäss-Aussackung in die Peripherie mit plötzlichen Durchblutungsstörungen Innerer Organe oder der Extremitäten.
Eine Ultraschalluntersuchung als Vorsorge zum Ausschluss eines Bauchaortenaneurysmas wird für Männer ab 65 Jahren empfohlen, im Falle einer familiären Häufung ist eine Ultraschalluntersuchung schon früher zu empfehlen.
Ab einer bestimmten Grösse bzw. dem Vorliegen von Beschwerden ist die eine Sanierung notwendig. Diese kann entweder minimalinvasiv (endovaskulär) durch spezielle Stents (Gefässstützen) oder offen operativ mit Rekonstruktion des Gefässes oder Anlage eines Bypasses erfolgen.
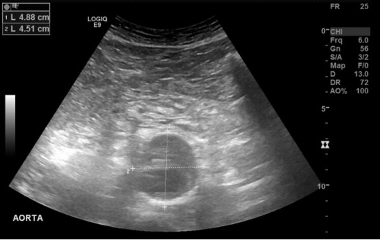
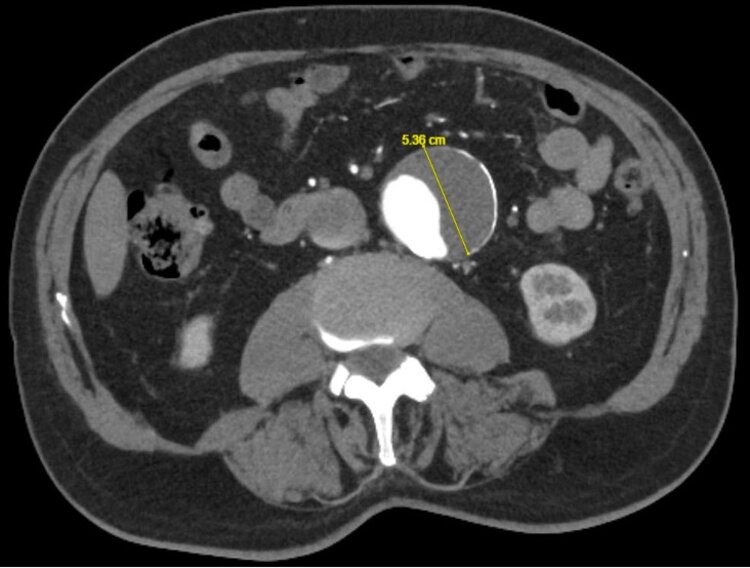
Die Diagnosestellung erfolgt in der Regel per Ultraschall, ist oftmals aber auch ein Zufallsbefund, so dass die Erstdiagnose auch in einem CT oder Kernspin erfolgen kann (Abbildung 1 a–c). Meistens jedoch wird zuerst mittels Ultraschall geschaut und ggf. im Anschluss eine CT- oder Kernspinuntersuchung durchgeführt um die genaue Grösse und Ausdehnung festzustellen.
Sollte ein Aneurysma festgestellt werden, ist zu allererst die gemessene Grösse und Region dafür entscheidend, wie es in der Therapie weiter geht (s.u. «Wann soll behandelt werden»).
Von enzündlichen (inflammatorischen) Ursachen abgesehen, kann in vielen Fällen einer Aneurysmaentwicklung vorgebeugt werden. Auch hier gilt es nach einer guten Gefässgesundheit zu leben, also nicht zu rauchen, seine Blutfette und Zuckerwerte im Blick und einen nicht erhöhten Blutdruck zu haben. Ein gesunder Lebnsstil mit entsprechender Ernährung und viel Bewegung gehören ebenfalls dazu.
(siehe Vorbeugung und Früherkennung von Arteriosklerose (Prävention) )
Als Faustregel gilt ein in etwa doppelter Gefässdurchmesser als Aneurysma und sollte entsprechend behandelt werden. Für unterschiedliche Gefässregionen gelten unterschiedliche Durchmesser bis wohin man konservativ bzw. ab wann man operativ/interventionell behandeln sollte.
So ist z.B. ein Bauchaorten-Aneurysma unter 5 cm primär konservativ zu behandeln mit dem Ziel ein weiteres Wachstum zu verhindern. Dies erfolgt mittels Einstellung eines erhöhten Blutdrucks (Ziel Blutdruck systolisch (oberer Wert) < 140 mmHg), Statin Einnahme und Blutplättchenhemmer. Der Patient sollte zudem nicht schwerer als 5 kg heben, da hierdurch ein weiteres Aneurysmawachstum gefördert wird.
Bei einem Bauchaortenaneurysma über 5 cm (Frauen) bzw. 5.5 cm (Männer), sollte über ein operatives oder minimalinvasives (endovaskuläres) Verfahren nachgedacht werden. In Einzelfällen ist es auch bei einem kleinerem Durchmesser als 5 cm notwendig operativ oder interventionell zu behandeln.


